Diş Çürüğü Başlangıcı

DİŞ Çürükleri
Diş çürüğü; Ağız ortamında bulunan bakterilerin şekerli yapılan (karbohidratları) parçalaması sonucu ortaya çıkan asitlerin diş dokularında oluşturduğu harabiyettir.
Yaş
Her yaşta görülür.
Cinsiyet
Her iki cinsiyette de görülür.
Risk Faktörleri
Diş çürüğü, tüm hastalıklar içinde en sık görülen hastalıktır. Ayrıca, çocukluk çağında en sık görülen bulaşıcı ve kronik hastalık olup diş kayıplarının en önemli nedenidir.
Bakteriler normalde ağız ortamında bulunur. Bakteriler, asit, yemek artıkları ve tükürük diş yüzeyi üzerinde bir film tabakası oluşturur ve buna diş plağı denir. Yemekten 20 dakika sonra diş plağı dişler üzerinde oluşmaya başlar. Diş plağı içerisindeki bakteriler, besinleri kullanarak asit oluşturur ve eğer diş plağı dişler üzerinden diş fırçalama ile uzaklaştırılmaz ise oluşan asitler dişin minesinde mineral kaybına neden olmaktadır. Tekrarlayan asit atakları sonucunda dişte diş çürüğü ve dişte boşluklar oluşabilir. Dişlerde çürük boşlukları asit ataklarının uzaması, bireysel direncin bozulması ve dişlerin iyileşme (remineralizasyon) yeteneğine bağlı olarak oluşabilir. Direnç ve iyileşme yeteneği kişinin genel vücut sağlığı ve ağız sağlığı ile ilgili davranışları ile ilişkilidir.
Öncelikle, diş çürüğü mine yüzeyi ile sınırlı görülüyorsa kendiliğinden onarılabilir (restore edilebilir). Eğer diş çürüğü ilerlemeye devam eder ve restore edilmezse boşluk büyümeye devam eder ve dişin sert dokularının derinlerine kadar ilerler ve sonuçta dişin canlı dokusu olan pulpaya ulaşır. Bakterilerin neden olduğu iltihabi durum doku boşlukları yardımı ile kana ve oradan da yüzün ve vücudun diğer bölgelerine ulaşır.
Diş çürüğünün oluşmasındaki risk faktörler
• Yetersiz florür alınımı
• Yetersiz ağız hijyeni
• Ailenin kötü ağız sağlığı
• Yoksulluk
• Sık beslenme alışkanlıkları
• Karbonhidrat ağırlıklı beslenme
• Şeker içeren ilaç kullanımı
• İlaç veya radyasyon tedavisi sonucu azalmış tükürük miktarı
• Diş minesindeki derin oluk ve çukurlar
• Geçmiş çürük hikayesi (erken çocukluk çağı çürüğü)
• Bazı sistemik hastalıklar (şeker hastalığı, serebral palsi, özürlü çocuklar gibi)
• Doğuştan anomaliler (yarık dudak – damak v.b.)
• Mide asidinin yemek borusuna kaçması (gastrik reflü)
• Streptokok isimli bir bakterinin sayı olarak fazla olması sayısı
• Azalmış tükürük miktarı
Belirti ve Bulgular
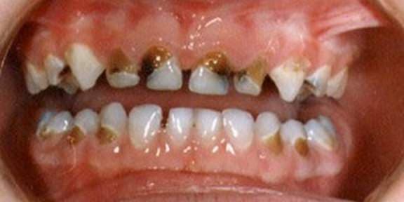
Soğuk, sıcak, tatlı yiyecek ve içeceklerle ve/veya kendiliğinden ortaya çıkan ani başlayan diş ağrısı diş çürüğünün belirtisidir. Ayrıca dişlerde görülen kahverengi siyah renklenmeler ve boşluklar diş çürüğünün belirtisidir.
Tanı
Diş çürüğünün tanısında, düzenli diş-muayenesi önemli olup klinik ve radyolojik değerlendirme yapılarak tanı konulabilir.
Diş çürüğünün tanısı gözle ağız içi muayenede konulur. Ön ve arka dişlerde kahverengi, siyah renkte çürük lezyonlan ve diş dokusu kaybı izlenir. Ayrıca diş ağrısı, diş etlerinde ve /veya yüzde şişlik, ağız kokusu, yemek yemede ve konuşmada problemler ve dişlerde görünüm bozukluğu gibi şikayetlere neden olur. Radyolojik değerlendirme gözle diş çürüğünün görülmediği fakat şüphelenildiği durumlarda kullanılır.
Tedavi
Harabiyete uğramış bir dişte tekrar sağlam dokuların oluşması mümkün değildir. Tedavi ile çürüğün ilerlemesi engellenmiş olur. Dişlere dolgu yapılması, çürük kısmın elektrikli veya el aletleri ile uzaklaştırılıp yerine amalgam, altın, porselen ve kompozit rezin materyallerde biri ile doldurulur. Eğer dişlerdeki harabiyet çok fazla ise dolguda kırılmalar olabileceğinden diş kron ile kaplanabilir. Diş çürüğü veya dişe gelen travma sonrasında dişin canlı dokusu olan pulpa canlılığını kaybedebilir. Canlı olmayan doku kanal tedavisi işlemi ile uzaklaştırılır ve kanal dolgusu yapılır.
Seyir
Erken tedavi ilerlemiş çürük tedavisine göre daha az ağrılı ve daha az pahalıdır. Hasta olan bölgenin uyuşturulması (lokal anestezi) eşliğinde tedavi yapıldığında ağrının kontrolü de sağlanmış olur. Diş çürüğünün erken teşhisi ve daha sonra yapılacak tedavi planı koruyucu diş hekimliği uygulamaları için çok önemlidir. Bu nedenle düzenli olarak diş hekimine gitmek tedaviyi kolaylaştıracaktır. Sistemik hastalık, diyet alışkanlıkları, sosyal faktörler, florür kullanımı, ağız temizliği, tükürük miktarı diş çürüğünden korunmada birincil olarak değerlendirilmelidir.
Diş çürüğünü önlemek için neler yapılmalı?
Sabah kahvaltısından sonra ve akşam yatmadan önce dişlerin fırçalanması ve her gün diş ipliğinin düzenli kullanılması en etkili yoldur.
Diş fırçaları küçük başlı seçilmeli, dişlerin tüm yüzeyleri fırçalanmalı ve ara yüzeylerde diş ipliği kullanılmalıdır. Fırçalar orta sertlikte veya yumuşak kıllı olmalı ve belirli aralıklarla değiştirilmelidir. Florürlü diş macunları kullanılarak florürün diş çürüğünün önlemedeki rolünden yararlanmalıdır.
Şekerli yiyecekleri ana öğünlerde tüketmeye çalışıp, yemek aralarında bir şey yiyip içmemeye gayret edilmelidir. Belli aralıklarla diş hekimine kontrole gitmek bir çürüğü önlemek ya da erken yakalamada en etkili yoldur. Ayrıca sıcak ve soğuya duyarlı dişler veya tebeşirimsi renkte olan başlangıç çürükleri, kahverengi renklenme gibi durumlarda vakit geçirilmeden hekime başvurulması tedavinin şeklinin değişmesini ortadan kaldıracaktır.


